Blog

What Is an Open Bite? | How Is It Treated?
Malocclusions have become pretty common throughout the world. It has not only led to an increased issue of teeth alignment, but also impacted oral hygiene on the whole. An open...
What Is an Open Bite? | How Is It Treated?
Malocclusions have become pretty common throughout the world. It has not only led to an increased issue of teeth alignment, but also impacted oral hygiene on the whole. An open...
Read More
Home Remedies for Swollen Gums
Whether your gums feel sore, swollen, or tender to touch when you brush your teeth, it's quite possible that you are not alone. Swollen gums are one of the most...
Home Remedies for Swollen Gums
Whether your gums feel sore, swollen, or tender to touch when you brush your teeth, it's quite possible that you are not alone. Swollen gums are one of the most...
Read More
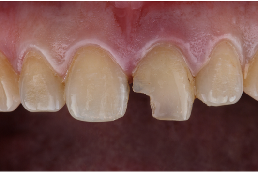
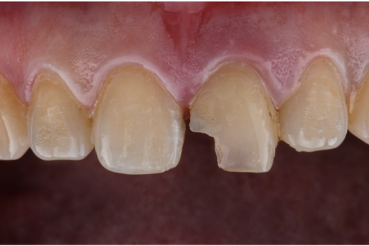
Chipped Tooth: Causes, Symptoms & Repair
You must have heard about different dental issues and how they have been impacting the overall appearance and confidence of individuals all over. While some might look at oral health...
Chipped Tooth: Causes, Symptoms & Repair
You must have heard about different dental issues and how they have been impacting the overall appearance and confidence of individuals all over. While some might look at oral health...
Read More
Jagged Teeth and Treatment Options That Work
Ever looked in the mirror and noticed your smile doesn’t look as smooth as it should? Maybe one tooth looks a little uneven, or the edge feels rough when you...
Jagged Teeth and Treatment Options That Work
Ever looked in the mirror and noticed your smile doesn’t look as smooth as it should? Maybe one tooth looks a little uneven, or the edge feels rough when you...
Read More
Everything You Need to Know about Dental Veneers
Boost your confidence and make an everlasting impression with a shining smile. Not everybody has perfectly shaped or naturally white teeth. This is where dental veneers come into play, standing...
Everything You Need to Know about Dental Veneers
Boost your confidence and make an everlasting impression with a shining smile. Not everybody has perfectly shaped or naturally white teeth. This is where dental veneers come into play, standing...
Read More
13 Natural Home Remedies for Treating Tooth Pai...
Teeth clenching or grinding in an unconscious state is all types of bruxism. If this issue is not addressed on time, it can lead to further damage, including tooth pain,...
13 Natural Home Remedies for Treating Tooth Pai...
Teeth clenching or grinding in an unconscious state is all types of bruxism. If this issue is not addressed on time, it can lead to further damage, including tooth pain,...
Read More
Teeth Bonding Solutions for Minor Imperfections
Your smile is one of the first things that people notice about you. A wonderful smile is impactful. It could potentially allow for multiple opportunities, initiate conversations, and create lasting...
Teeth Bonding Solutions for Minor Imperfections
Your smile is one of the first things that people notice about you. A wonderful smile is impactful. It could potentially allow for multiple opportunities, initiate conversations, and create lasting...
Read More
Is Tooth Shaving Necessary Before Getting Veneers?
Veneers are increasingly becoming more and more popular with time. The new wave of Hollywood smile and the era of social media, people are looking for fast ways to transform...
Is Tooth Shaving Necessary Before Getting Veneers?
Veneers are increasingly becoming more and more popular with time. The new wave of Hollywood smile and the era of social media, people are looking for fast ways to transform...
Read More
Black Triangles in Teeth and Cosmetic Ways to C...
A set of straight, white teeth looks great. However, if they are not in harmony with the gums and other oral structures, your smile stays far from perfect. That’s exactly...
Black Triangles in Teeth and Cosmetic Ways to C...
A set of straight, white teeth looks great. However, if they are not in harmony with the gums and other oral structures, your smile stays far from perfect. That’s exactly...
Read More
Can Veneers Really Cover Grey Teeth?
Your smile is one of the first things people notice. And if you have grey teeth, it’ll make you lose confidence. This kind of tooth discoloration is stubborn. Regular whitening...
Can Veneers Really Cover Grey Teeth?
Your smile is one of the first things people notice. And if you have grey teeth, it’ll make you lose confidence. This kind of tooth discoloration is stubborn. Regular whitening...
Read More
Veneers or Crowns – How to Decide What’s Better...
Choosing between veneers and crowns can be overwhelming, especially when your dentist presents both options without much explanation. While on the surface, veneers and crowns may feel the same, with...
Veneers or Crowns – How to Decide What’s Better...
Choosing between veneers and crowns can be overwhelming, especially when your dentist presents both options without much explanation. While on the surface, veneers and crowns may feel the same, with...
Read More
How Teeth Reshaping Improves Smile Appearance
Everyone would love to have a perfectly aligned smile; however, not everyone is born with it. If you are someone seeking to improve your smile, there are options other than...
How Teeth Reshaping Improves Smile Appearance
Everyone would love to have a perfectly aligned smile; however, not everyone is born with it. If you are someone seeking to improve your smile, there are options other than...
Read More