Blog

Différence entre l'alignement et le redressemen...
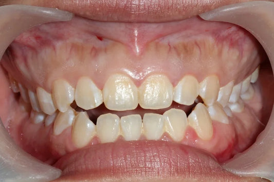
Il est essentiel de comprendre l'alignement et le redressement des dents pour obtenir un sourire parfait. Comprendre la différence vous aide à choisir la meilleure solution pour vos besoins dentaires,...
Différence entre l'alignement et le redressemen...
Il est essentiel de comprendre l'alignement et le redressement des dents pour obtenir un sourire parfait. Comprendre la différence vous aide à choisir la meilleure solution pour vos besoins dentaires,...
Read More
Les appareils orthodontiques métalliques prenne...
L'une des premières questions à se poser lorsque l'on commence à redresser ses dents est la suivante : « Combien de temps faudra-t-il pour retrouver un sourire droit ? »...
Les appareils orthodontiques métalliques prenne...
L'une des premières questions à se poser lorsque l'on commence à redresser ses dents est la suivante : « Combien de temps faudra-t-il pour retrouver un sourire droit ? »...
Read More
Comment redresser efficacement les dents du bas...
Lorsque nous parlons de redresser les dents pour un sourire parfait, les gens ne pensent généralement qu’aux dents de devant supérieures les plus proéminentes. Mais les dents inférieures tordues peuvent...
Comment redresser efficacement les dents du bas...
Lorsque nous parlons de redresser les dents pour un sourire parfait, les gens ne pensent généralement qu’aux dents de devant supérieures les plus proéminentes. Mais les dents inférieures tordues peuvent...
Read More
Protections anti-grincement des dents souples o...
Le grincement des dents, également connu sous le nom de bruxisme, est un problème courant auquel de nombreuses personnes sont confrontées, souvent sans le savoir pendant leur sommeil. Ce tic...
Protections anti-grincement des dents souples o...
Le grincement des dents, également connu sous le nom de bruxisme, est un problème courant auquel de nombreuses personnes sont confrontées, souvent sans le savoir pendant leur sommeil. Ce tic...
Read More
Comment les aligneurs transparents peuvent-ils ...
Les dents tordues peuvent nuire à la santé buccodentaire et à l'estime de soi, et de nombreuses personnes recherchent des solutions efficaces pour aligner leurs dents. Les Canadiens à la...
Comment les aligneurs transparents peuvent-ils ...
Les dents tordues peuvent nuire à la santé buccodentaire et à l'estime de soi, et de nombreuses personnes recherchent des solutions efficaces pour aligner leurs dents. Les Canadiens à la...
Read More
Comment réparer une béance : causes, traitement...
Vous êtes-vous déjà demandé quelle était la fréquence des béances ? Les recherches montrent qu'un tiers (36,4 %) des patients dentaires étudiés présentaient une béance antérieure. Qu'est-ce qu'une béance ?...
Comment réparer une béance : causes, traitement...
Vous êtes-vous déjà demandé quelle était la fréquence des béances ? Les recherches montrent qu'un tiers (36,4 %) des patients dentaires étudiés présentaient une béance antérieure. Qu'est-ce qu'une béance ?...
Read More
Dites adieu au ronflement : comment le bon prot...
Le ronflement n'est pas simplement un bruit, c'est aussi le signe d'une perturbation de la circulation de l'air pendant votre sommeil. Il peut compromettre votre santé et affecter également les...
Dites adieu au ronflement : comment le bon prot...
Le ronflement n'est pas simplement un bruit, c'est aussi le signe d'une perturbation de la circulation de l'air pendant votre sommeil. Il peut compromettre votre santé et affecter également les...
Read More
Comment demander une assurance dentaire pour un...
Les protège-dents de nuit sont indispensables aux personnes souffrant de grincement des dents (bruxisme), de serrement des dents ou d'autres troubles bucco-dentaires associés, qui provoquent des douleurs et des dommages...
Comment demander une assurance dentaire pour un...
Les protège-dents de nuit sont indispensables aux personnes souffrant de grincement des dents (bruxisme), de serrement des dents ou d'autres troubles bucco-dentaires associés, qui provoquent des douleurs et des dommages...
Read More
Présentation du nouveau nettoyeur de protège-de...
L'évolution récente dans le domaine de la dentisterie a rendu la protection dentaire ultime accessible aux individus du monde entier. Un protège-dents joue un rôle efficace pour prévenir le grincement...
Présentation du nouveau nettoyeur de protège-de...
L'évolution récente dans le domaine de la dentisterie a rendu la protection dentaire ultime accessible aux individus du monde entier. Un protège-dents joue un rôle efficace pour prévenir le grincement...
Read More
Décomposer le coût des protège-dents de nuit : ...
Combien coûte une gouttière de nuit ? L'expérience des différents facteurs qui peuvent affecter le coût d'une gouttière de nuit peut vous fournir des informations pour prendre une décision appropriée...
Décomposer le coût des protège-dents de nuit : ...
Combien coûte une gouttière de nuit ? L'expérience des différents facteurs qui peuvent affecter le coût d'une gouttière de nuit peut vous fournir des informations pour prendre une décision appropriée...
Read More
Stylo de blanchiment des dents 2025 : le guide ...
Il est bien connu que les personnes aux dents blanches sont en bonne santé, confiantes et belles. Le désir d'avoir un beau sourire augmentant, les gens recherchent de plus en...
Stylo de blanchiment des dents 2025 : le guide ...
Il est bien connu que les personnes aux dents blanches sont en bonne santé, confiantes et belles. Le désir d'avoir un beau sourire augmentant, les gens recherchent de plus en...
Read More
7 faits surprenants que vous ne saviez pas sur ...
Les équipements de protection dentaire, notamment les protège-dents, font partie des équipements les plus essentiels dans tout sport. Du football au cyclisme, le port d'un protège-dents garantit la sécurité de...
7 faits surprenants que vous ne saviez pas sur ...
Les équipements de protection dentaire, notamment les protège-dents, font partie des équipements les plus essentiels dans tout sport. Du football au cyclisme, le port d'un protège-dents garantit la sécurité de...
Read More