
Have you ever felt a little self-conscious when taking a picture? Do you avoid close-ups while taking a selfie? You are not alone. Many people around the world are facing the issue of uneven teeth. And for some, uneven teeth can make smiling feel uncomfortable.
In this blog, you will learn what uneven teeth are, their causes, and how they can be fixed.
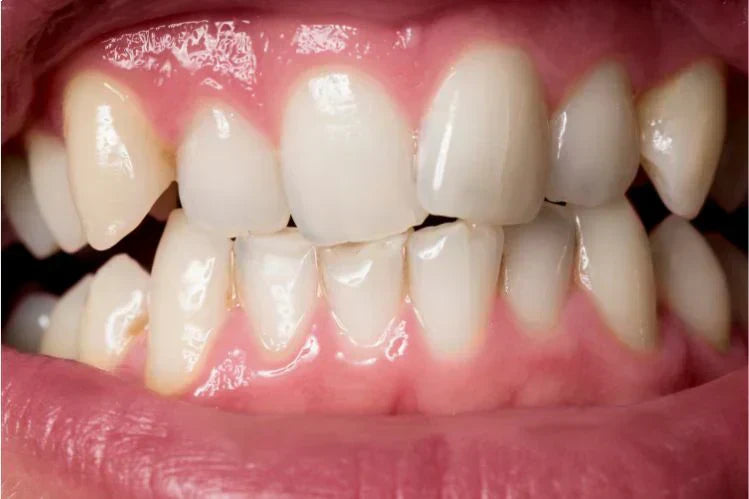
What Are Uneven Teeth?
Uneven teeth refer to any misalignment that affects the symmetry of the teeth and jaw. This condition can sometimes lead to crowding, spacing, or twisted teeth. It's a common dental problem in Canada and while some cases are purely cosmetic, some may lead to major bite problems.
What Are The Causes Of Uneven Teeth
Several underlying factors cause uneven teeth. Understanding these causes is an important step towards fixing them.
Genetics
Uneven teeth sometimes lie in your DNA. If your parents, grandparents, or any close relative have uneven teeth, you may inherit them. Similarly, your jaw size is also inherited. If your jaw is smaller than usual, your teeth don't find sufficient space to fit in, resulting in overcrowding or overlapping of teeth.
Childhood Habits
Sometimes childhood habits that may feel cute at first can impact their dental development and growth. When habits like thumb-sucking, tongue thrusting, or use of a pacifier are prolonged, they cause teeth to be pushed out, resulting in bite issues.
Dental Trauma
Accidents happen — a fall, a hit to the face, or any other trauma to the mouth can cause a premature loss of baby teeth or a shift of teeth from their original positions. If the baby teeth fall too early, the permanent teeth may grow in slanted or uneven rather than straight.
Aging
It's important to treat any dental problem in time. Even if your teeth were straight at first, they may become uneven over time, especially if you experience any gaps, tooth decay, cavities, or wear and tear. If they are left untreated, they can cause uneven teeth as you proceed with your age.
Poor Nutrition
A balanced diet, containing all the nutrients in sufficient amounts is important for teeth and jaw development. Poor nutrition, especially in children, can lead to tooth decay or disrupt the normal development of teeth and jaw.
Similarly, consumption of processed food and soft drinks in large amounts leads to crooked and uneven teeth. These foods require less chewing than those consumed by our ancestors, leading to smaller jaw sizes over generations.
Impacts of Uneven Teeth
Uneven teeth are not only a matter of aesthetics only, they can affect your overall quality of life. Let's have a look at how uneven teeth can impact your lifestyle.
Aesthetics
Crooked or uneven teeth can make your smile look less symmetrical and less visually appealing. Moreover, overcrowded or twisted teeth can draw attention away from the other facial features, disrupting the harmony and overall balance of the face.
Difficulty in Maintaining Oral Hygiene
Uneven teeth make it challenging for a person to maintain oral hygiene. Crowded, overlapped, or twisted teeth make tight spaces between the teeth which are often difficult to clean. When these hard-to-reach areas are not cleaned properly, they become breeding grounds for cavities and bacteria, which can lead to tooth decay, excessive wear and tear, and gum diseases.
Functional Issues
Uneven teeth interfere with the normal functioning of the mouth. Bite problems like overbite or underbite make it difficult to bite and chew. When teeth are not aligned properly, force is not evenly distributed. This contributes to chronic jaw strain, TMJ diseases, or even headaches. Similarly, if you have uneven teeth, it can affect the way you articulate particular sounds and pronounce certain words, causing speech impediments.
Psychological Issues
Uneven teeth can impact the psychological well-being of a person too. Many people feel self-conscious and less confident due to their teeth alignment issues. This can lead to anxiety in social and professional gatherings. People often face depression and are reluctant to smile freely because of their uneven teeth.
Treatment Options for Uneven Teeth
If you are unhappy with the way your teeth look, or their misalignment is causing speech or bite difficulties, you can have them realigned. Advancements in dental sciences have now made it possible to fix uneven teeth. There are many treatment options available to correct teeth alignment. Given below are some of them:
Clear Aligners
Clear aligners are the most advanced non-invasive treatment for fixing uneven teeth. They are nearly invisible and require less treatment time. Moreover, they are more affordable as compared to braces. The good part is that they are custom-fit trays and adjust according to the shape and size of your teeth, reducing the discomfort. Another benefit of clear aligners is that you can remove them while eating or maintaining oral hygiene.
Braces
Braces are the traditional method in the modern world to fix uneven teeth. They are usually effective in treating alignment issues but with pros come the cons also. For metal or ceramic braces, the patient must visit the orthodontist regularly to keep the treatment on track. They are highly noticeable and uncomfortable, often making it challenging to eat or maintain oral hygiene. They require years of consistent use to correct uneven teeth.
Teeth Straightening Surgery
If your teeth are severely uneven, your dentist may recommend more invasive options. These surgical procedures reshape your jaw or reposition your bones to help your gums hold your teeth in place.
Retainers
After you have undergone the teeth alignment treatment, it is necessary to retain your hard-earned results. Keeping this in mind, modern dentistry has introduced dental tools called retainers. Your teeth always find ways to go back to their misaligned state, so retainers are used to keep your teeth in their new and ideal positions.
ALIGNERCO Clear Aligners: Perfect Solution for Uneven Teeth

ALIGNERCO Canada provides you with a straight path toward the perfect smile. At ALIGNERCO, we are making it easier for you to achieve a confident smile without stressing your budget. Here is why ALIGNERCO clear aligners are the perfect fit for you:
Affordable
Why go for the expensive braces when you can align your uneven teeth in 60-70% less? At ALIGNERCO, we believe that everyone deserves a perfect smile. That's why we have made sure you get quality clear aligners without draining your budget. And with our flexible payment plans, it has become even easier to get a smile makeover.
At-Home Facility
Skip the in-person orthodontic appointments. ALIGNERCO has removed this hassle for you. You can now have your uneven teeth fixed from the comfort of your home. You just have to order your aligners and we’ll deliver them right to your doorstep.
Advanced Technology
Our experts make sure you get the result you want. Using your teeth impressions, they make a 3D smile projection model to show you how your smile will look after the treatment. Once you approve it, they carefully craft your clear aligners.
Success Stories

Tracy Steffes from Canada, age 30, wanted to fix her uneven teeth but wasn't ready to face the challenges that come with braces. She trusted ALIGNERCO to achieve the smile she was looking for. ALIGNERCO Clear Aligners gently shifted her teeth to their ideal positions, resulting in a significant improvement in her oral health. Here is what she has to say about us:
“The company has been very informative with me throughout the whole process and anytime I expressed a concern. They always resolved it promptly.”
Conclusion
Uneven teeth can impact your confidence and oral health. If left untreated, uneven teeth can lead to further complications. Addressing them early can improve both your confidence and oral health. Choosing the right treatment option can save a lot of time and effort. With ALIGNERCO’s commitment to quality and affordability, you can embark on your smile journey with confidence. So, don't wait any longer to unleash your best smile.
FAQs
1. Can aligners fix severely uneven teeth?
Yes, clear aligners are effective for fixing mild to moderate cases. However, for severe cases, you may need additional treatment such as braces or surgery.
2. How long does treatment take?
With ALIGN ERCO Clear Aligners, it usually takes 4-6 months, depending upon the severity of the case and treatment plan you opt for.
3. Does Canadian insurance cover ALIGNERCO dental treatment?
Yes, ALIGNERCO accepts most dental insurance plans in Canada. However, it's important to check with your insurance provider to understand what your plan covers and what portion of the cost you will be responsible for.
4. Will teeth stay straight forever?
After the treatment has ended, it's important to use retainers so that your teeth don't shift back to their uneven state.
References:
Whelan, C. (2019, May 8). What causes crooked teeth and how to straighten them. Healthline. https://www.healthline.com/health/dental-and-oral-health/crooked-teeth
Canadian Dental Association. (n.d.). 2015. https://www.cda-adc.ca/en/oral_health/talk/complications/crooked_teeth/