
Table of Contents
- Understanding a Chipped Tooth
- Types of Tooth Chips and Cracks
- What Causes a Chipped Tooth?
- Why a Chipped Tooth Should Never Be Ignored
- Chipped Tooth Repair Options
- Choosing the Right Repair Method
- Chipped Tooth Repair
- FAQs
You must have heard about different dental issues and how they have been impacting the overall appearance and confidence of individuals all over. While some might look at oral health issues as something that does not bother them much, for others, it impacts their smile aesthetics, shattering their overall confidence.
Chipped teeth are among the most common dental issues that need to be addressed promptly. It might not be as big a problem as a dental misalignment, but it can still lead to hygiene issues and compromised enamel health. In this blog, let us enrich you with the knowledge of what a chipped tooth is, its causes, and how to repair it in order to enhance your smile.
Understanding a Chipped Tooth
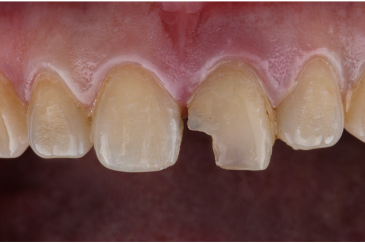
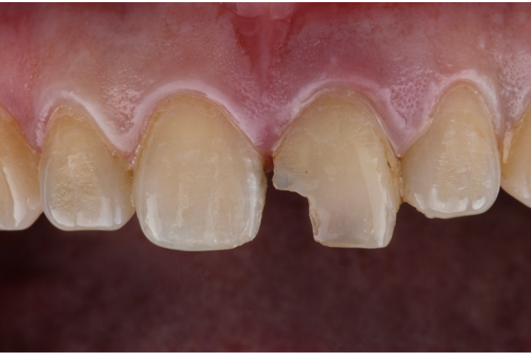
A chipped tooth refers to when a small portion of your tooth enamel has broken off, leaving the inner layers of that tooth exposed. Depending on the size and seriousness of the chip, it might be insignificant that you may not even notice, or it might be as serious as a painful problem that requires immediate dental treatment.
Enamel is the hardest substance in the body, but there are numerous ways to damage it, and even these hard teeth can be chipped. Enamel can wear down through everyday usage, can be injured from blunt trauma, or even underlying health conditions and/or medications can cause chipping.
A chipped tooth can happen anywhere, anytime, and due to various circumstances. But the most common situations involve a chipped front tooth because of a hit or fall, and chipped molars from chewing on bones or other hard foods.
Types of Tooth Chips and Cracks
Dentists classify chipped and cracked teeth based on the extent of damage:
Minor Chips
Tiny surface cracks affecting only the enamel. Usually painless but may cause slight roughness.
Small to Moderate Chips
A visible piece of enamel is missing, but the dentin underneath is still intact. Common in slightly chipped teeth.
Severe Chips or Fractures
The chip extends deep into the dentin or pulp, causing pain, bleeding, and possible nerve exposure.
Vertical Cracks
A crack running from the chewing surface toward the root, which can lead to severe infection if untreated.
What Causes a Chipped Tooth?
Knowing why teeth chip can go a long way toward preventing another one in the future. Several everyday habits, lifestyle factors, and even natural aging can weaken your enamel over time. Let’s look at the most common reasons your tooth might chip or crack.
Physical Impact or Accidents
A sudden blow to the mouth is one of the most frequent causes of a chipped tooth. Whether it’s from a fall, a car accident, or a sports-related injury, any direct force can easily cause the enamel to crack or break. Contact and high-intensity sports such as hockey, basketball, or boxing are particularly risky if you’re not using protective gear like a mouthguard.
Chewing on Hard Substances
Your teeth are strong, but not indestructible. Crunching on hard foods like ice cubes, hard candies, unpopped popcorn kernels, or even biting into bones can overload your enamel’s limits. The front teeth, being the first to bite, are the most likely to suffer a chip or small fracture.
Chronic Teeth Grinding (Bruxism)
If you grind or clench your teeth, especially while sleeping, the repetitive pressure can gradually wear down the enamel. Over time, this grinding weakens tooth structure , making even a slightly chipped tooth more likely to occur from everyday chewing or minor impact.
Tooth Decay and Weak Enamel
Cavities erode the enamel, leaving your teeth fragile and more likely to break. Once a tooth’s structure is compromised by decay or even by a large filling, it becomes more susceptible to chipping. Maintaining good oral hygiene and regular dental checkups can significantly reduce this risk.
Temperature Shock
Your enamel can be impacted as a result of certain foods or drinks. For instance, sipping hot tea or coffee followed by an intake of cold water can fracture the enamel. These drastic temperature shifts lead to microcracks in the enamel, resulting in a chipped tooth, which weakens teeth over time.
Natural Aging and Daily Wear
As you get older, years of chewing, grinding, and exposure to acidic foods can thin your enamel. This natural wear makes your teeth less resistant to impact and more likely to develop small chips, especially along the edges of the front teeth.
Why a Chipped Tooth Should Never Be Ignored
Many people dismiss a slightly chipped tooth as a minor cosmetic issue, especially if it doesn’t hurt. However, even a small crack or chip can lead to more serious problems if left untreated. Here’s why:
Aesthetic Impact
Your smile plays a huge role in how you look and feel. A chipped front tooth can affect your confidence and make you self-conscious when speaking or smiling.
Tooth Sensitivity
When the enamel layer is broken, the underlying dentin becomes exposed. Dentin contains microscopic tubules that lead to the nerve, causing sensitivity to temperature changes or sweet foods.
Structural Weakness
A chipped area creates a weak point in the tooth, making it more prone to cracking or breaking further with everyday use.
Decay and Infection Risk
The chip may create rough or uneven edges that trap food particles and bacteria. Over time, this can lead to cavities, infection, or even abscess formation if bacteria reach the pulp.
Pain and Discomfort
Depending on the depth of the chip, you may experience anything from mild irritation to sharp, shooting pain when biting down or drinking something cold.
Chipped Tooth Repair Options
When it comes to chipped tooth repair, the right approach depends on several factors, including the size and location of the chip, the condition of your surrounding teeth, and whether the tooth’s nerve (pulp) is affected. Modern dentistry offers a variety of effective treatments that can restore your tooth’s strength, appearance, and function, often in just one or two visits. Options to treat a chipped tooth include the following.
- Dental bonding
- Veneers
- Crowns
Let’s take a detailed look at the most reliable and widely used dental repair techniques for chipped teeth.
Dental Bonding
Dental bonding is one of the quickest and most affordable cosmetic procedures for repairing a small chip in a front tooth or a slightly chipped tooth anywhere else. It’s especially popular for patients looking for a painless, same-day fix.
How It Works
The dentist begins by selecting a composite resin that matches the natural color of your teeth. The tooth’s surface is gently roughened (etched) to help the resin adhere properly. Then, the resin is applied in layers, carefully shaped to recreate the tooth’s natural contour, and hardened using a special ultraviolet (UV) or laser light. Finally, the bonded area is polished to give it a smooth, realistic finish that blends seamlessly with the rest of your smile.
Benefits of Dental Bonding
Minimally invasive: No drilling or anesthesia is typically required.
Fast and convenient: Most bonding treatments are completed within 30–60 minutes per tooth.
Cost-effective: One of the most affordable cosmetic repair options.
Natural results: The resin mimics the translucency and shine of natural enamel.
Protective: Helps seal and protect the exposed dentin beneath the chip.
Lifespan & Care: With proper oral hygiene and routine dental check-ups, dental bonding can last between 3 to 10 years. Avoid biting hard objects (like ice or pens) and limit foods that can stain resin, such as coffee and red wine, to maintain your bonded tooth’s appearance.
Ideal For
- Chipped front teeth
- Small cosmetic chips or cracks
- Patients seeking a quick, aesthetic, and affordable solution
Dental Veneers

If your chipped front tooth is affecting your confidence or the appearance of your smile, dental veneers offer a long-lasting, aesthetic solution. Veneers don’t just repair, they completely transform the look of your teeth.
What Are Veneers?
Veneers are ultra-thin, custom-crafted shells (typically made of porcelain or composite resin) that adhere to the front surface of your teeth. They are designed to cover chips, discoloration, gaps, and uneven edges, giving you a flawless, natural-looking smile.
Procedure
- Your dentist removes a very thin layer of enamel (usually less than 1 mm) from the front of the tooth to make room for the veneer.
- An impression of your tooth is taken and sent to a dental lab, where your custom veneer is crafted.
- Once ready, the veneer is bonded to your tooth using a strong adhesive, and the edges are polished to perfection.
Why Veneers Are a Popular Choice
- Highly aesthetic: Porcelain veneers reflect light just like natural enamel.
- Durable: With good care, veneers can last 10–15 years or longer.
- Resistant to stains: Porcelain material resists discoloration from coffee, wine, and smoking.
- Custom-fit: Tailored in shape, color, and size to match your smile.
Best For
- Chips or cracks on visible front teeth
- Teeth that are uneven, stained, or worn down
- Patients looking for both repair and a cosmetic smile enhancement
Dental Crowns
When a chip is so large that it cannot be bonded or covered with a veneer, or if the strength of the tooth is compromised, a dental crown (sometimes called a "cap") is typically the most reliable option. Crowns are tooth-shaped coverings that fit over the entire visible part of your tooth. Crowns restore the visual appearance and function of the damaged tooth, while protecting it from breaking or decaying further.
Procedure
- The dentist removes any weakened or decayed parts of the tooth and shapes it to fit the crown.
- An impression is taken to create a perfectly fitting restoration.
- A temporary crown may be placed while your permanent one (usually porcelain, zirconia, or ceramic) is being fabricated.
- The final crown is then cemented in place, providing full protection and a natural appearance.
Advantages
- Complete protection: Encases the entire tooth, strengthening and stabilizing it.
- Functional and aesthetic: Looks natural while allowing normal biting and chewing.
- Durable: Can last 10–15 years or more with good care.
- Versatile: Suitable for both front and back teeth.
Best For
- Extensive chips or fractures
- Teeth weakened by decay or large fillings
- Broken molars or teeth after root canal treatment
Root Canal Treatment
In severe cases, where the chip or fracture extends deep enough to expose the inner pulp (the soft tissue containing nerves and blood vessels), a root canal treatment becomes necessary to save the tooth.
Why It’s Needed
When bacteria enter through a deep chip, the pulp can become infected, causing severe pain, sensitivity, or even abscess formation. A root canal removes the infected tissue and seals the tooth to prevent further issues.
Step-by-Step Process
- Diagnosis: The dentist takes X-rays to assess the depth of the crack and pulp involvement.
- Pulp removal: Under local anesthesia, the infected pulp is removed from the canal.
- Cleaning & sealing: The canal is thoroughly disinfected, filled, and sealed to prevent reinfection.
- Restoration: A dental crown is placed over the treated tooth to restore strength and appearance.
Symptoms You May Need a Root Canal
- Persistent or throbbing tooth pain
- Sensitivity to hot or cold foods
- Swelling of the gums around the affected tooth
- Darkening or discoloration of the chipped tooth
Once the infection is cleared and crowned, the tooth functions normally and can last many years with proper care.
Dental Fillings
When the chip affects only a small section of the tooth, especially in molars or teeth that aren’t visible when smiling, dental fillings or onlays provide an excellent, conservative repair. Composite fillings use a tooth-colored resin material to restore small chips or cavities. The resin is bonded directly to the tooth, hardened with light, and polished smooth.
Benefits
- Preserves natural tooth structure compared to a full crown.
- Durable and aesthetic, especially when made from porcelain or resin.
- Quick recovery, with little discomfort.
Best For
- Small to moderate chips on back teeth
- Repairing chewing surfaces without needing full coverage
Choosing the Right Repair Method
Your dentist will assess several factors before recommending a chipped tooth repair approach, such as:
- The extent of enamel loss or dentin exposure
- Whether the tooth is front-facing or molar
- Presence of pain, decay, or infection
- Your budget and cosmetic goals
Small chips can often be treated with bonding or a filling. Deeper fractures may, however, involve crowns or root canal therapy. In any case, today’s dental materials and methods can restore the natural appearance, strength, and functionality of your tooth accurately.
Chipped Tooth Repair
A chipped tooth may seem like a minor problem, but over time, it can severely affect your health. It doesn't matter if it is a small chip on a front tooth or a big fracture - it is always best to get it checked to avoid any further tooth damage, an infection, and/or ongoing pain. Modern dentistry has come a long way with dental options for chipped teeth - dental bonding, veneers, crowns, etc. So go ahead - smile when you feel like it and get that chipped tooth fixed. Your dentist will determine which option is best according to the extent of the chipped tooth.
FAQs
1. Is it okay to leave a tooth chipped?
Leaving a chipped tooth untreated isn’t recommended. Even a small chip can expose the inner layers, increasing the risk of decay, infection, or further breakage.
2. Why did a tiny piece of my tooth break off?
A small chip often happens when enamel is weakened by grinding, decay, or sudden impact. Sometimes, it’s simply due to biting something too hard or long-term enamel erosion.
3. How urgent is a chipped tooth?
If it’s only a small chip with no pain, it’s not an emergency, but it should be repaired soon to prevent worsening. However, if there’s pain, sensitivity, or sharp edges, see a dentist immediately.
4. Can a tooth be broken and not infected?
Yes, a tooth can be chipped or cracked without any infection. But if left untreated, bacteria can enter the damaged area and cause decay or pulp infection over time.
5. What do dentists use to fix a chipped tooth?
Dentists commonly use dental bonding, veneers, or crowns depending on the chip’s size. Bonding works best for small chips, while larger breaks may require a crown or root canal first.
6. How quickly can a chipped tooth get infected?
If the dentin or pulp is exposed, bacteria can invade within days or weeks. Prompt treatment helps seal the tooth and prevent infection or abscess formation.
7. Is a chipped tooth covered by insurance?
In many cases, yes, especially if the damage was caused by an accident or injury. Cosmetic-only repairs may not be fully covered, depending on your dental plan.
8. How long will a chipped tooth last?
If left untreated, a chipped tooth can worsen over time. With proper dental repair, like bonding or a crown, it can last for many years, sometimes decades, with good oral care.
Citations:
Kakka A, Gavriil D, Whitworth J. Treatment of cracked teeth: A comprehensive narrative review (https://www.ncbi.nlm.nih.gov/pmc/articles/PMC9562569/). Clin Exp Dent Res. 2022;8(5):1218-1248. Accessed 4/28/2024.
Chipped tooth. (2025, August 18). Cleveland Clinic. https://my.clevelandclinic.org/health/diseases/chipped-tooth
Dunkin, M. A. (2025b, January 20). Repairing a chipped or broken tooth. WebMD. https://www.webmd.com/oral-health/repairing-a-chipped-or-broken-tooth