
Table of contents
Most people think about straightening their upper teeth first because the row is typically seen when we smile, skipping the bottom row to save money. If your bottom teeth are crooked but your upper teeth are gradually straight, you may wonder if it’s worth correcting them or keeping them that way. In this blog post, we’ll examine in detail the crooked booth teeth, and how can fix them in detail.
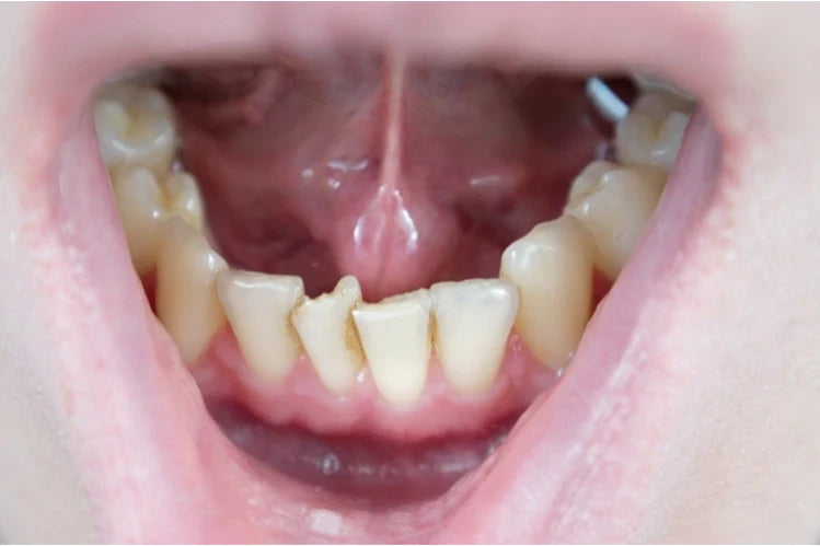
Why my Bottom Teeth are Misaligned
Misaligned teeth are exceedingly common; in fact, the majority of people have one or more misaligned teeth. In addition to genetically inherited features, which frequently account for misalignment to varying extents, there are several other possible causes for misalignment, such as:
- Teenage behaviors such as thumb sucking
- Overcrowding in the mouth
- Mishaps and injuries
Things that Affect How Your Lower Teeth Align
Examine the elements influencing alignment and discover efficient solutions, such as clear aligner therapy, for a straight, self-assured smile.
- A smaller oral cavity
- Having a narrow lower jaw or having misaligned upper and lower jaws
- Overcrowding is frequently the reason for straight upper teeth and crooked lower teeth.
- Adult teeth falling out
- Inherited characteristics
- Baby teeth disappear early
- Poor dental hygiene, which frequently results in gum disease
- Thumb sucking or extended use of pacifiers throughout childhood
Regretfully, most adult prevention of crooked bottom teeth occurs throughout childhood or even during infancy. However, you can lessen the likelihood of tooth loss and misaligned teeth by maintaining proper dental hygiene and receiving orthodontic treatment.
The Reason Behind Misaligned Lower Teeth?
Both upper and lower crooked teeth are rather common. One of the following factors could be the cause of crooked bottom teeth in you or a loved one:
Jaw Size
Smaller jaws are unable to hold all teeth in the ideal alignment.
Premature Loss of Milk Teeth
When the permanent teeth erupt in abnormal positions due to the premature loss of the primary teeth,
Parafunctional Dental behaviors
The upper and lower teeth may seem crooked as a result of some parafunctional dental behaviors, such as thumb sucking or nail biting.
Indications that your Lower Teeth might need to be Straightened
The best way to correct crooked bottom teeth is with orthodontic treatment if you are self-conscious about the way your bite looks if you have noticed uneven wear on your lower front teeth, or if you are having trouble keeping your gums healthy and your teeth clean due to crowding or irregularity.
While typically visible from the outside, further indications of misaligned bottom teeth include:
- Unsatisfactory outcomes from routine brushing that leave a persistent "unbrushed" taste
- Unable to maintain healthy, clean lower gums
- Uneven wear on the teeth on the lower front
Do Crooked Bottom Teeth Visible?
Your ability to detect crooked bottom teeth may be limited depending on how your bite lines up and whether you have an overbite. It's vital to remember that an orthodontist will take into account other factors in addition to your smile's cosmetic appeal. Eventually, a crooked smile could result from your top teeth being forced out of alignment by your bottom teeth. They could also be pushing your jaw out of alignment, which could hurt the condition of your bite or cause uneven tooth wear.
How Can I Straighten My Bottom Teeth?
Your misaligned lower teeth can be straightened out with the assistance of a dentist. Once the cause has been determined, they will advise you of your alternatives for teeth straightening. People of all ages typically get braces to correct misaligned teeth. It takes healthy teeth and gums to support braces. Furthermore, getting your teeth aligned could take a few years.
The dentist may suggest surgical procedures to fix crooked bottom teeth in more extreme cases.
Among the available treatments are the following:
- Metal Braces
- Ceramic Braces
- Invisible Braces
- Lingual Braces
- Teeth-Straightening Surgery
Metal Braces
For complex misalignment, metal braces, which are fastened with bands, brackets, and flexible wire, are a great treatment choice. Some persons need to wear a headache guard with their fixed metal braces; these are often worn exclusively at night. Metal braces are more pleasant than they used to be.
Ceramic Braces
Another alternative for straightening your misaligned bottom teeth is to use ceramic braces. The braces and the archwires blend in with the tooth, making them less obvious than metal braces. They could, however, be more brittle and stained.
Lingual Braces
Invisible and affixed to the back of your teeth, lingual braces resemble standard metal braces in many ways. Lingual braces are costly, despite their effectiveness. They also require more cleaning effort and may take a little longer to get results.
Teeth Straightening Surgery
Your orthodontist may suggest having surgery to straighten your misaligned lower teeth. Depending on your situation, little surgery may be required. But you may require orthognathic surgery if your teeth are causing problems for you when eating and speaking.
Treatment for crooked bottom teeth is recommended for a variety of reasons, including improved self-esteem and health issues. At ALIGNERCO, we provide a variety of braces to correct misaligned teeth and tailor the treatment to meet your individual needs. To begin, get in touch with us.
FAQs
1. If I have crooked bottom teeth and wear clear aligners, can I still eat normally?
You can take out your aligners while dining, so you can eat all of your favorite foods without feeling confined.
2. How do bottom crooked teeth get fixed with clear aligners?
Clear aligners are a discrete and comfortable treatment option that gently forces teeth into the correct position over time.