
Ever looked in the mirror and noticed your smile doesn’t look as smooth as it should? Maybe one tooth looks a little uneven, or the edge feels rough when you run your tongue over it. That’s what we usually mean when we talk about jagged teeth. Sometimes it’s just uneven tooth edges from the way a tooth grew in, other times it’s chipped enamel from biting down on something too hard or grinding at night.
It’s not always painful, but it can make your teeth look worn or less polished than you’d like. And the truth is, those little rough spots don’t fix themselves; you’ve got to decide whether you just need to smooth them out or go for a more lasting treatment like veneers, which are beneficial if you also have problems like white spots on teeth or intrinsic stains.
What Actually Causes Jagged Teeth?
There isn’t just one reason why teeth end up with rough or uneven edges. Sometimes it’s the way they come in, other times it’s life wearing them down. Here are the most common causes:
- Natural tooth shape – Some people’s teeth just come in with slightly jagged edges. Totally normal, but it can look uneven.
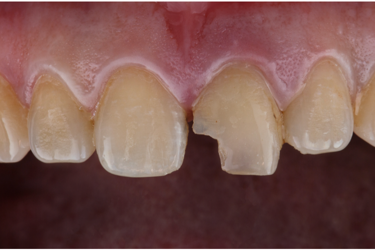
- Chipped enamel – Biting something hard (ice, pens, that sneaky popcorn kernel) can chip the edge of a tooth and leave it looking rough.
- Grinding or clenching –This is how chipped teeth can sneak up on you. If you grind your teeth, the enamel slowly wears down. Most of the time, you don’t even notice it, especially if it happens when you’re asleep. Then one day, you see the edges aren’t smooth anymore.
- Accidents or injuries – And of course, there’s the obvious stuff. A fall, getting hit in the face during sports, or even just knocking your tooth on something, those little accidents can chip enamel and leave a tooth looking rough.
- Alignment issues – When your bite’s off, certain teeth take more of the pressure than they should. Over time, that extra stress makes the edges look uneven or sharp. It’s not instant, but it adds up.
What Can Jagged Teeth Look Like?
Not every case of jagged teeth looks the same. Sometimes it’s subtle, other times it’s obvious when you smile. A few things you might notice:
- Rough or sharp edges – You can actually feel the tooth catching on your tongue or lip.
- Uneven tooth edges – One tooth looks longer, shorter, or more irregular compared to the others.
- Tiny chips or cracks – Chipped enamel often shows up as small notches that make the tooth look less smooth.
- Pointy or irregular shapes – Some front teeth naturally come in with little ridges or points that never fully wear down.
- Worn-down spots – If grinding is the cause, teeth can look flattened or jagged in certain areas.
It’s the kind of thing that might not bother you much at first, but once you’ve noticed it in the mirror or a photo, it’s hard to unsee.
Should I Get Jagged Teeth Treated?
Not always. If the uneven edges are tiny and painless, you can leave them alone. But sharp spots can cut your tongue or cheek, and uneven tooth edges are easy to notice once you’ve seen them in the mirror.
Cosmetic reasons are a factor, too. Even a small chip or bit of chipped enamel can make a smile look less smooth. And when jagged teeth come from grinding or bite issues, it’s more than cosmetic—it’s a sign your enamel is wearing down. That’s when treatment matters, because enamel doesn’t grow back.
So the rule of thumb is simple: if it’s uncomfortable, makes you self-conscious, or keeps chipping, it’s worth fixing.
Treatment for Jagged Teeth
There’s no one-size-fits-all fix. The right option depends on how uneven the tooth is and what’s causing it. Here’s how each treatment actually works:
Tooth Contouring and Reshaping (Enamel Shaping)
This one’s simple. If the jagged edge is just a little extra enamel, your dentist can smooth it out with tooth contouring and reshaping. The process only takes a few minutes, it’s painless, and the results are instant. It works best for minor unevenness, since only a small amount of enamel can be safely removed.
Dental Bonding
If enamel is chipped, bonding for uneven teeth works well. Basically, the dentist puts on this tooth-colored resin, like a filler on your teeth. Then they will shape to smooth out the edges and make the tooth look as it was before the chipping. The only catch is that, since it’s resin, it doesn’t last forever. You might need it touched up after a few years.
Veneers
If you want a quick but long-lasting effect, go for veneers. These are porcelain shells that are placed in front of your existing teeth to hide imperfections. They don’t just hide jagged edges; they also improve color, shape, and symmetry. The only downside is that it requires some teeth shaving.
Crowns
These function quite similarly to veneers. The difference is that these are used when your entire tooth needs to be covered. Crowns are caps that are put on top of very weak teeth. These are also necessary after you get a root canal, which affects the integrity of your tooth structure.
Orthodontic Treatment
Braces or clear aligners won’t smooth a jagged edge, but they solve the bite problems that cause uneven wear. Misaligned teeth put extra pressure on certain spots, and that’s what creates jagged edges in the first place. Once the bite is corrected, your dentist can polish or bond the tooth for a lasting fix.
Night Guards
If grinding is the problem, fixing the edge is only half the solution. A custom night guard protects teeth while you sleep and prevents further chipping down the road.
How to Avoid Jagged Teeth
Honestly, a lot of jagged teeth just come down to habits. Like, don’t bite ice. I know it’s tempting, but it’s basically asking for chipped enamel. The same goes for popcorn kernels or hard candy. One wrong crunch and you’re looking at cosmetic fixes for chipped edges.
Another big one, grinding. If you catch yourself clenching during the day or wake up with a sore jaw, chances are you’re grinding at night. That’s the kind of thing that slowly creates uneven edges without you noticing until one day your teeth just look… worn down. A night guard helps, not glamorous, but it works.
And then there’s alignment. If your bite is off, certain teeth take all the pressure. That’s where the uneven wear shows up. Braces, aligners, whatever route you go, it’s not just cosmetic; it keeps your enamel from breaking down in weird patterns.
Regular dentist visits help, too. They’ll catch the tiny chips or rough spots before they get big enough for you to notice in the mirror.
So yeah, it’s mostly just protecting enamel and not misusing your teeth. Easier said than done, but worth thinking about.
So the “avoidance checklist” looks like this:
- Don’t chew on ice, pens, or hard candy.
- Watch for signs of grinding and get a guard if you need one.
- Fix misalignment early.
- Keep up with dentist visits.
The Bottom Line on Jagged Teeth
So, jagged teeth aren’t always the end of the world. Sometimes it’s just a little uneven edge, and honestly, a dentist can smooth that out in minutes. But then again, it’s not always that simple; sometimes you’re dealing with chipped enamel, or maybe grinding, or even a bite issue that’s slowly making things worse.
I guess the point is, small fixes now usually save you from bigger headaches later. It could be contouring, maybe bonding, or even just wearing a night guard if grinding’s the problem. It really depends on what’s causing it in the first place.
If you notice some sharpness in your teeth’s edges, consult a dentist. They will assess your teeth and tell you the best solution. Whether a small touch-up will be enough, or if you need more thorough treatment to address the root cause of the problem. Either way, know that there is a way to fix jagged teeth.
FAQs
1. What can be done for jagged teeth?
It depends on the cause. Minor uneven edges can be smoothed with tooth contouring and reshaping. Chipped enamel can be fixed with bonding or veneers. If it’s from grinding or misalignment, treatment might also include a night guard or orthodontics to prevent more damage.
2. Can a jagged tooth be fixed?
Yes, absolutely. Dentists have several options, from quick polishing for small rough spots to crowns or veneers for bigger chips. The fix is usually straightforward once the cause is clear.
3. How to fix sharp jagged teeth?
If the edge is sharp and irritating your tongue or cheek, a dentist can file it down slightly (tooth contouring) or smooth it with bonding. It’s a simple procedure that makes the tooth feel normal again.
4. How to get rid of zigzag teeth?
“Zigzag teeth” usually means teeth that are uneven or misaligned. That’s more of an orthodontic issue, so braces or clear aligners are the go-to solution. Once the teeth are in the right position, a dentist can still polish or reshape them for a smoother look.
Citations:
Dunkin, Mary Anne. “Repairing a Chipped or Broken Tooth.” WebMD, 28 Oct. 2009, www.webmd.com/oral-health/repairing-a-chipped-or-broken-tooth.
Clinic, Cleveland. “Chipped Tooth: Causes, Symptoms & Repair.” Cleveland Clinic, 2024, my.clevelandclinic.org/health/diseases/chipped-tooth.